### CASO CLÍNICO
Disponível no [link](https://journals.lww.com/kidney360/Fulltext/2023/04000/AKI_in_a_Patient_with_Fatigue,_Weakness,_and_an.21.aspx)
Uma mulher de 53 anos apresentou uma história de 2 semanas de fraqueza geral progressiva, fadiga, inapetência náuseas e vômitos intermitentes. Negava febre, alterações cutâneas ou hematúria.
**Antecedentes**, sem histórico patológico, negava tabagismo, consumo de álcool, drogas recreativas ou AINE.
**Exame físico**, apresentava edema de membros inferiores bilateral com cacifo
**Laboratório**:
- Leucocitose leve, anemia microcítica, contagem de plaquetas normal
- Creatinina sérica 4,9 mg/dl
- Exame urina: hematúria e proteinúria (1 g/g) e leucocitúria
- Dosagem de complemento normal (C3 e C4)
- ANCA: pendente
### ESTÁ INDICADO BIÓPSIA RENAL?
Nunca é demais relembrar que diante de um caso de IRA sem etiologia aparente com sedimento urinário ativo devemos considerar fortemente biópsia renal.
O exame vai nos ajudar a identificar a etiologia, e caso encontremos uma doença sugestiva de lesões crônicas ficamos mais tranquilos em não indicar tratamentos imunossupressores intempestivos.
### REALIZADO A BIÓPSIA, CHECA O RESULTADO!

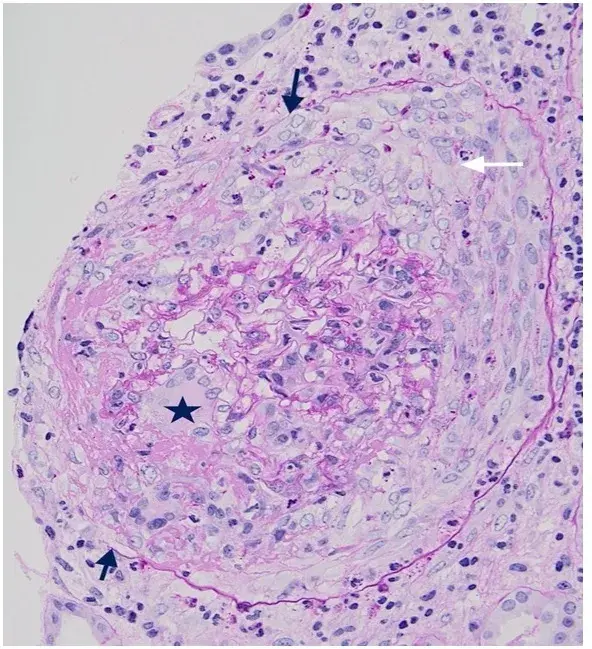
É possível identificar um glomérulo com quebra ruptura da MBG, com crescente celular no espaço de Bowman (seta branca), célula gigante multinucleada (estrela) e ruptura da cápsula de Bowman (seta preta) (PAS; 400×). PAS, ácido periódico-Schiff.

A imunofluorescência mostra marcação linear de IgG na MBG (anticorpo anti-IgG; 400×).
A biópsia renal revelou GN crescêntica necrotizante difusa sem hipercelularidade endocapilar. Alguns raros glomérulos continham células gigantes multinucleadas.
A imunofluorescência demonstrou padrão de deposição linear de IgG (policlonal), deposição na membrana basal glomerular (MBG), sem depósitos na microscopia eletrônica.
Qual o diagnóstico?
**Glomerulonefrite mediada por anticorpo anti-MBG.**
**Realizado dosagem do anticorpo anti-MBG, identificado títulos elevados.**
### PONTOS PARA APRENDIZADO
O diagnóstico precoce e o início da terapia podem ajudar a preservar a função renal. A terapia inclui a remoção agressiva dos autoanticorpos com **plasmaferese**, interrupção da produção de anticorpos com **imunossupressão** e cuidados de suporte com **terapia de substituição renal**.
O atraso no diagnóstico ocorre em situações em que testes sorológicos (anti-MBG) ou avaliação da imunofluorescência do tecido renal não estão disponíveis, desta forma fica difícil a distinção da anti-MBG de outras causas de GN crescêntica, como por imunocomplexos e vasculite ANCA.
A avaliação da microscopia de luz pode ajudar na diferenciação de casos de **GN por anti-MBG** de casos **GN-ANCA**, já que na GN anti-MBG não observamos hipercelularidade endocapilar e pode ser identificado a presença de células gigantes multinucleadas, estas células gigantes multinucleadas resultam a natureza explosiva e a rápida destruição dos glomérulos observadas em anti-MBG
Desta forma, a presença de lesões crescentes temporalmente semelhantes e células gigantes multinucleadas na microscopia de luz (MO) pode ajudar no diagnóstico precoce.