Fale Comigo
Whatsapp
Artigos
Nefrodicas
Vídeoaulas
Imagens
Casos Clínicos
artigos
dialise
ira
drc
doenca renal do diabetes
hipertensao
infeccao do trato urinario
nefrolitiase
glomerulopatias
transplante renal
disturbios hidroeletroliticos

      Como investigar e como eu trato: Hiponatremia refratária no consultório

      Hiponatremia crônica refratária exige investigação fisiológica — especialmente osmolaridade urinária e capacidade real de excreção de água livre. Restrição hídrica isolada frequentemente falha no SIADH, sendo comuns estratégias com carga osmótica (ureia, sal) ± diurético de alça. No ambulatório, o objetivo é correção lenta, segura e funcional — não normalização imediata do sódio.

      Luís Sette

      27 dias atrás

      Imunossupressão no Transplante Renal do Idoso: Existe Esquema Específico?

      Não existe ainda um esquema imunossupressor específico superior para transplantados renais idosos — estratégias com tacrolimus reduzido + everolimus não melhoraram sobrevida, função renal ou infecções versus esquema padrão. Os resultados reforçam que imunossenescência reduz rejeição, mas não elimina riscos infecciosos ou metabólicos. Hoje, a melhor abordagem continua sendo individualizar o esquema conforme perfil clínico e risco global do paciente.

      Valkercyo Feitosa

      27 dias atrás

      2025 não foi mais do mesmo: o que realmente mudou na nefrologia este ano (parte 1)

      2025 não foi um ano de revoluções, mas foi um ano de consolidação na nefrologia. Entre diálise, doença cardiovascular e glomerulopatias, os grandes estudos mostraram com mais clareza onde insistir, onde parar e onde ajustar a estratégia — com surpresas positivas, especialmente fora do “território tradicional”. Esta primeira parte reúne os temas que realmente mudaram a prática em 2025, com dados mais maduros e menos promessas vazias.

      Luís Sette

      3 meses atrás

      Meu paciente com NIgA tem proteinúria entre 0,5–1,0 g/dia, já está em iECA e iSGLT2: devo pensar em imunossupressão?

      Proteinúria entre 0,5–1,0 g/dia na NIgA não é benigna e já se associa a maior risco de progressão renal. A evidência atual reforça <0,5 g/dia como alvo terapêutico, valorizando proteinúria cumulativa e tendência ao longo do tempo. Antes de pensar em imunossupressão, o foco deve ser otimização máxima da terapia de suporte e estratificação cuidadosa de risco.

      Luís Sette

      3 meses atrás

      A era da remissão na DRC: estamos prontos para assumir essa meta?

      A remissão da DRC deixou de ser conceito teórico: com terapia combinada (iSRAA + SGLT2i + finerenona + GLP-1RA), muitos pacientes podem atingir declínio renal fisiológico e normalização da albuminúria. O artigo de Tangri et al. mostra que até DRC moderada–avançada pode regredir quando tratada agressivamente. Estamos preparados para trocar “retardar progressão” por buscar remissão como meta terapêutica real?

      Luís Sette

      4 meses atrás

      Rituximabe revoluciona o manejo da síndrome nefrótica recorrente em adultos? O novo RCT japonês responde

      O novo RCT japonês (JAMA 2025) mostra que rituximabe reduz em 84% o risco de recaída em adultos com FRNS/SDNS, especialmente na doença de lesões mínimas. Quase 90% permanecem em remissão por 1 ano, e 72% conseguem suspender totalmente o corticoide. O esquema com dose de manutenção na semana 25 surge como novo padrão para controle sustentado da síndrome nefrótica recorrente em adultos.

      Luís Sette

      4 meses atrás

      Highlights ASN 2025: Novas Fronteiras em IgA, descontinuação de Hemodiálise e o uso do Ômega-3 nos dialíticos

      No congresso ASN 2025 foram apresentadas terapias inovadoras para Nefropatia da IgA com destaque para ensaios fase 3, estratégias de diálise em pacientes com Insuficiência Renal Aguda (IRA) e o ensaio PISCES demonstrou que suplementação diária com óleo de peixe reduziu eventos cardiovasculares em hemodiálise. Prepare-se para um mergulho rápido nas mudanças de conduta que vêm por aí!

      Luís Sette

      4 meses atrás

      Pressão arterial e rim: o que muda na Diretriz Brasileira de Hipertensão 2025?

      A Diretriz Brasileira de Hipertensão 2025 traz metas mais agressivas para pacientes renais (<130x80 mmHg; até <120 em casos selecionados). U0001F48A Novas drogas cardiorrenais (iSGLT2, finerenona, GLP-1) entram na rotina, e a denervação renal ganha espaço nos refratários. Para o nefrologista, o recado é claro: controlar pressão cedo, integrar terapias e sempre reavaliar peso seco antes de escalar fármacos.

      Luís Sette

      6 meses atrás

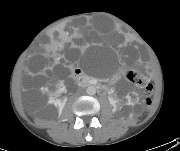
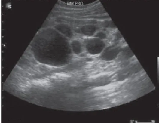
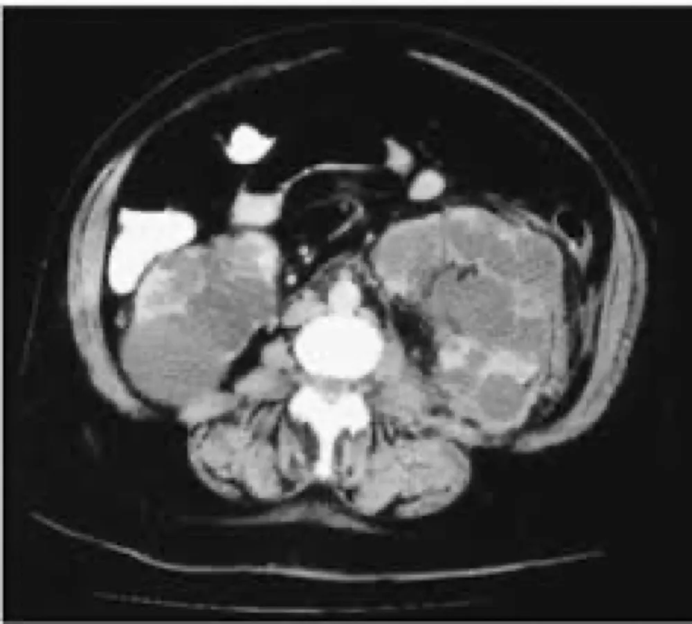
      Diálise Peritoneal na Doença Renal Policística: existe algum motivo para não indicar?

      A DRPAD não é contraindicação à DP — e, na prática, muitos pacientes têm resultados comparáveis à hemodiálise. O “porém” está na mecânica: rins/hepatomegalia podem reduzir tolerância a volumes, aumentar risco de hérnias e extravasamentos, e piorar desconforto respiratório. Com técnica adequada (cateter presternal ou lateral, volumes menores, cicladora noturna e decúbito supino), a maioria das barreiras é contornável. Neste post, revisamos quando a DP é ótima, quando exigir cautela e como ajustar a prescrição para segurança e qualidade de vida.

      Valkercyo Feitosa

      7 meses atrás

      Finerenona + empagliflozina: será que funcionam em qualquer estágio de DRC?

      Finerenona + empagliflozina: será que funcionam em qualquer estágio de DRC? A combinação entre MRA não esteroidal e iSGLT2 desponta como estratégia complementar no controle da inflamação/fibrose e da hiperglicemia/hemodinâmica tubular, com sinais de benefício cardiorrenal em diferentes perfis de DRC. Mas há nuances: o efeito pode variar conforme TFG e albuminúria, e a evidência direta por estágio ainda é limitada—exigindo monitorização de potássio e queda inicial de TFG, além de individualização. Neste post, revisamos o que já sabemos, o que ainda falta provar e como aplicar a dupla na prática sem descuidar da segurança.

      Luís Sette

      7 meses atrás

      IVIG na Rejeição Humoral Crônica Ativa: da teoria à uma nova evidência clínica

      IVIG na rejeição humoral crônica ativa: o que aprendemos com o VIPAR trial? Estudo randomizado australiano mostrou que a IVIG estabiliza histologia e preserva TFG em pacientes com AMR crônica ativa, mesmo sem reduzir DSA. Apesar dos resultados animadores, as limitações — amostra pequena, estudo aberto e uso de desfecho substituto — pedem cautela e confirmação em ensaios maiores.

      Valkercyo Feitosa

      7 meses atrás

      O timing certo da diálise pré-operatória: o que fazer na DRC avançada e no paciente já está em diálise?

      O momento ideal da diálise pré-operatória deve equilibrar risco de sobrecarga volêmica/uremia e risco de hipotensão ou sangramento. Em pacientes em diálise crônica, manter o padrão habitual ou realizar no dia anterior (ou no mesmo dia com ≥6h antes da cirurgia) reduz mortalidade. Em não dialíticos de alto risco, a diálise profilática pode diminuir complicações e otimizar o estado clínico.

      Luís Sette

      7 meses atrás

      Uso do Tolvaptan na Doença Renal policística, dicas de prescrição!

      Tolvaptan é um medicamento indicado para retardar a progressão da doença renal policística autossômica dominante (DRPAD). Ele age reduzindo o crescimento dos cistos renais e requer monitoramento regular devido a possíveis efeitos adversos, como hepatotoxicidade e desidratação. Sua prescrição é indicada para pacientes com alto risco de progressão da doença. Confere aqui as dicas práticas de prescrição e seguimento.

      Valkercyo Feitosa

      2 anos atrás