Vamos com mais um caso clínico que traz muito aprendizado (artigo na íntegra [aqui](https://journals.lww.com/kidney360/fulltext/2025/04000/acute_kidney_injury_and_nephrotic_syndrome_in_a.27.aspx))
Paciente masculino, 45 anos, apresentou-se com anasarca, redução do débito urinário e fraqueza em membros inferiores há três semanas. Relatava uso contínuo, há mais de três meses, de medicamentos tradicionais indígenas para tratamento de dor articular. Ao exame físico, apresentava força muscular grau 2 em membros inferiores e reflexos tendíneos profundos diminuídos.
Os exames laboratoriais iniciais evidenciaram creatinina sérica de 6,8 mg/dL, proteína total de 4,1 g/dL, albumina sérica de 1,8 g/dL, colesterol total de 280 mg/dL e proteinúria maciça (32 g/24h) sem hematúria. Complemento sérico, anticorpo anti-receptor de fosfolipase A2 (PLA2R) e FAN foram negativos. Testes da função tireoidiana sugeriram tireoidite autoimune, sendo instituído tratamento com carbimazol.
Diante da piora das escórias o paciente iniciou hemodiálise, sendo iniciado também tratamento corticosteroide em alta dose (prednisona 80 mg/dia) e anticoagulação com heparina. Foi realizado biópsia renal no quinto dia de internação.
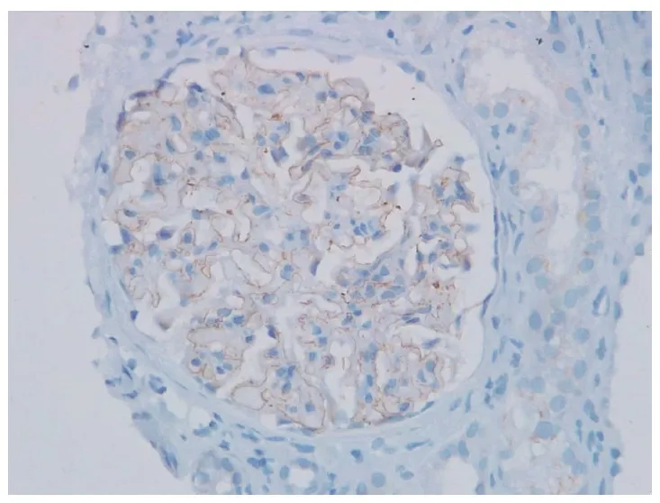
A biópsia renal foi compatível com nefropatia membranosa, além disso, foi identificado marcação na membrana basal glomerular para NELL1 (imuno-histoquímica para NELL1, 400×).

Um dia após a biópsia, o paciente apresentou dispneia súbita, taquicardia e hipotensão. Ecocardiograma revelou dilatação do tronco da artéria pulmonar e do ventrículo direito. A tomografia computadorizada de tórax confirmou tromboembolismo pulmonar associado a trombose da veia cava inferior e veia renal direita. Foi realizada trombólise com alteplase, sem intercorrências hemorrágicas, seguida de anticoagulação com rivaroxabana.

Análise toxicológica dos medicamentos indígenas revelou contaminação por chumbo, com níveis séricos significativamente elevados. Estudo com eletroneuromiografia nervosa demonstrou polineuropatia sensório-motora axonal associada à toxicidade pelo chumbo.
O paciente recebeu tratamento com quatro doses semanais de rituximabe (500 mg/dose). Após seis meses, houve redução da proteinúria para 1,8 g/dia, com remissão completa da síndrome nefrótica, normalização da função tireoidiana e recuperação funcional dos membros inferiores ao final de 18 meses de seguimento.
###### O que esse caso nos ensina?
1. Este caso ilustra a importância de considerar agentes tóxicos ambientais e medicamentos tradicionais na etiologia da síndrome nefrótica e IRA. A exposição a medicamentos tradicionais potencialmente contaminados (nesse caso com metais pesados) deve ser considerada como causa de glomerulopatias proteinúricas, especialmente em casos atípicos.
2. A glomerulonefrite membranosa NELL1-positiva é classicamente associada à exposição a mercúrio, mas também pode ocorrer, embora raramente, por intoxicação por chumbo.
3. Pacientes com síndrome nefrótica apresentam alto risco de eventos trombóticos graves, exigindo vigilância precoce e intervenção imediata.
4. A realização de trombólise com alteplase pode ser segura em pacientes pós-biópsia renal, desde que não haja sinais de sangramento ativo.
5. O manejo deve ser multidisciplinar, incluindo interrupção da exposição tóxica, imunossupressão específica, anticoagulação e reabilitação neuromuscular.