Caso clínico publicado no **[NEJM](https://www.nejm.org/doi/full/10.1056/NEJMicm2213584?query=featured_nephrology)**: Um homem de 35 anos com nefropatia por IgA procurou pronto-socorro com quadro de confusão mental, visão embaçada e convulsão há 01 dia. Duas semanas antes da apresentação ele começou a tomar ciclosporina para tratamento de nefropatia por IgA. Sua PA era de 160/80 mm Hg.
Ao exame físico paciente estava sonolento e com redução da acuidade visual. O exame de fundo de olho foi normal.
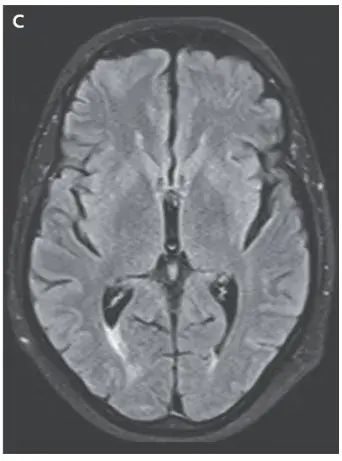
A ressonância magnética (MRI) de crânio ponderada em T2 mostrou sinal hiperintenso na substância branca cortical e subcortical, achados consistentes com **edema vasogênico** (imagens A e B). Os achados da angio-RM arterial e venosa foram normais.

Foi feito o diagnóstico de síndrome de encefalopatia posterior reversível (PRES) devido ao **uso de ciclosporina.**
**Dicas importantes**: Apesar do nome da síndrome, a PRES não afeta apenas as partes posteriores do cérebro. Não esquecer que pode estar associada à **hipertensão**, **encefalopatia urêmica, eclampsia** ou **terapia imunossupressora**, como foi o caso deste paciente.
Realizado retirada do medicamento (ciclosporina) e os sintomas do paciente e os achados da ressonância magnética foram resolvidos (Imagem C).
