Aortite em um transplantado renal: raro, mas com implicações importantes
O caso descrito por Muraoka et al. (Kidney360, 2025 - [link](https://journals.lww.com/kidney360/fulltext/2025/03000/an_unusual_cause_of_fever_and_chills_in_a_kidney.22.aspx)) relata uma apresentação incomum de febre em um receptor de transplante renal, cuja causa foi uma aortite infecciosa A seguir, os principais pontos clínicos são organizados para facilitar o aprendizado:
🩺 Descrição do caso clínico
Paciente: Homem, 49 anos, transplantado renal há 5 anos (doador vivo, ABO-incompatível) por nefropatia diabética.
Comorbidades:
* Diabetes mellitus tipo 2 descompensado (HbA1c: 17,2%)
* Doença arterial coronariana
* Hipertensão arterial
* Imunossupressão: Tacrolimo, micofenolato mofetil, metilprednisolona.
Apresentação clínica:
* Febre (38,5 °C), calafrios e taquicardia.
* Exame físico e urina sem alterações significativas.
* Exames laboratoriais: leucocitose (10.500 cel/mm³), PCR elevada, glicemia de 369 mg/dL.
* Exames de imagem sem achados específicos.
* Hemocultura positiva para Salmonella no 3º dia de internação.
* História de ingestão recente de ovo cozido comprado pronto e convivência com animal de estimação (cachorro).
Investigação complementar e diagnóstico
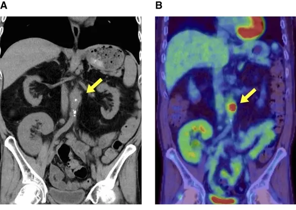
1. TC abdominal no 6º dia de investigação, sendo identificado um abaulamento focal da parede anterior da aorta abdominal com calcificação e “borramento da gordura peri-aórtica.
2. PET/CT (16º dia): Captação de FDG no mesmo local, confirmando inflamação ativa – diagnóstico: aortite infecciosa por Salmonella.
Achados de imagem na aortite infecciosa. (A) TC no 6º dia mostra abaulamento focal e calcificação da parede anterior da aorta abdominal, próxima à artéria mesentérica superior, com borramento da gordura ao redor (sinal de inflamação). (B) A PET/TC no 16º dia evidencia captação de fluorodeoxiglicose (FDG) na mesma região, indicando inflamação ativa.
💉 Conduta clínica e evolução
* Conduta conservadora: devido ao baixo risco de ruptura arterial.
* Antibióticos intravenosos
* Controle rigoroso da PA.
* Monitoramento por imagem seriada.
Desfecho: Quadro resolvido sem complicações. Alta com antibiótico oral para completar 8 semanas. Sem recorrência.
✅ Sete aprendizados essenciais para o nefrologista
1. Suspeitar de causas vasculares raras em febre persistente, especialmente em transplantados com bacteremia por Salmonella.
2. Menos de 5% dos casos de infecção por Salmonella progridem para bacteremia.
3. Nos pacientes com aortite infecciosa, 40% são decorrentes de bacteremia por Salmonella
4. A combinação de imunossupressão e aterosclerose facilita infecções arteriais graves, como aortite.
5. PET/CT é ferramenta diagnóstica-chave para confirmação e acompanhamento de inflamação vascular em casos duvidosos.
6. Tratamento conservador pode ser eficaz em pacientes clinicamente estáveis, evitando intervenções cirúrgicas de alto risco.
7. Educação do paciente quanto à higiene alimentar e cuidados com animais de estimação é essencial na prevenção de infecções entéricas graves.
Resumo prático:
Este caso reforça a importância da vigilância clínica ampliada em pacientes transplantados, incluindo causas infecciosas vasculares. Para o nefrologista, trata-se de um alerta para considerar infecções incomuns diante de febre persistente. O uso de imagem funcional e a educação do paciente são elementos centrais na prevenção e no manejo eficaz desse tipo de complicação.