Você se depara com achado de um angiomiolipoma renal (AML) no exame de USG, a conduta é só encaminhar pra urologista, certo?
Errado! O achado de um AML renal é muito comum e acomete até 2% da população mundial, a maioria (80%) ocorre de forma esporádica (mutação somática). Porém o nefrologista deve estar atendo a possibilidade do AML ser uma das manifestações de uma doença genética multissistêmica, a Esclerose Tuberosa ou Complexo Esclerose Tuberosa (CET).
Confere essas dicas de como diferenciar uma AML esporádico, comum na população geral dos AML da CET
* Pacientes adultos e assintomáticos com **01 ou 02 AML pequenos** (ou seja, <4 cm) têm menor probabilidade de terem CET. Nesses pacientes, basta realizar uma avaliação clínica, obtendo um histórico familiar cuidadoso e manejar como AML esporádicos
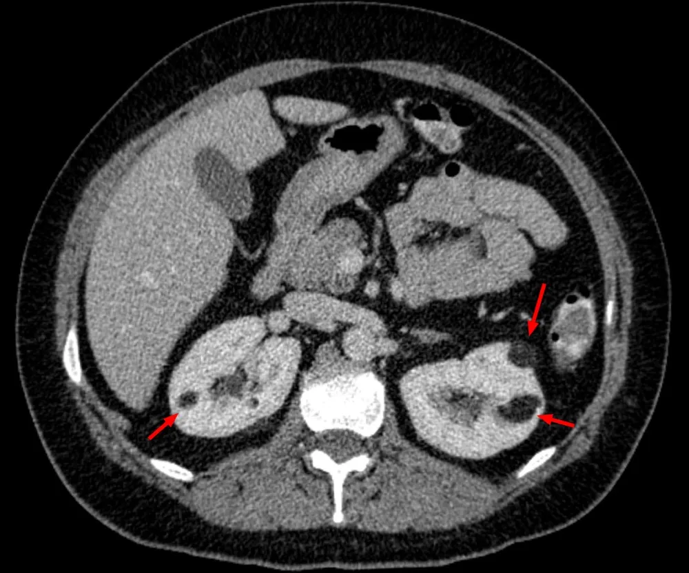
* Pacientes com **AML múltiplos (≥3), bilaterais e/ou grandes(ou seja, ≥4 cm)** têm maior probabilidade de ter CET (imagem abaixo).
* Nestes pacientes é essencial realizamos uma avaliação completa para CET, que inclui avaliação clínica, critérios diagnósticos e até testes genéticos).
TC abdome sem contraste evidenciando imagens hipodensas na região cortical de ambos os rins
Os critérios diagnósticos para CET baseiam-se em características clínicas e estão listados abaixo:

Diagnóstico definitivo: 02 critérios critérios maiores ou 01 critério maior+ 02 critérios menores
Diagnóstico possível: 01 critério principal ou dois critérios menores